• 三级甲等中医医院
  • 国家中医住院医师规范化培训基地
  • 国家首批肿瘤多学科诊疗试点医院
  • 国家高级卒中中心
  • 国家胸痛中心
  • 回到旧版
  • 无障碍浏览
  • 长者版

    生命禁区里的 “拆弹” 奇迹 | 我院开展罕见复杂食管癌手术

    时间:2025-05-12   浏览次数:1524

    在人体精密如迷宫的血管与脏器构造中,一场关乎生命的“拆弹”手术正在上演。近日,六安市中医院胸外科团队凭借精湛医术与多学科协作,成功突破生命禁区,为一名合并罕见“迷走性锁骨下动脉” 变异的食管癌患者完成根治手术,书写了我院复杂胸外科手术领域的新篇章!


    当食管癌撞上“血管迷宫”,生命亮起红灯。

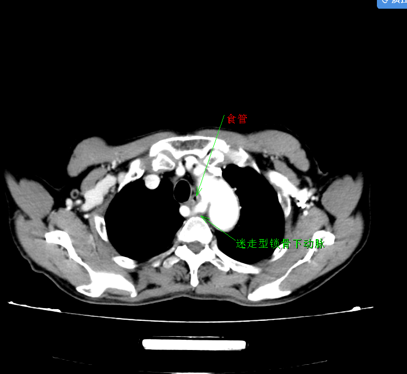
    患者高先生(化名)因进行性吞咽困难前来就诊,原本以为只是普通的肠胃问题,却在检查后被确诊为食管中上段鳞癌。更棘手的是,进一步的影像学评估发现,他竟合并先天性迷走性锁骨下动脉——这一发病率不足 1% 的血管畸形!

    正常情况下,右锁骨下动脉应从主动脉弓正常分出,而高先生的右锁骨下动脉却异位至食管后方,形成“血管环”,紧紧包裹食管及气管。肿瘤与变异血管如同纠缠的藤蔓,不仅让传统手术入路充满风险,稍有不慎,血管误伤就可能引发致命性大出血,甚至导致脑部供血障碍,手术难度堪称“地狱级别”!

    图片

    术前CT

    多学科“智囊团”集结,定制生命救援方案。

    面对这道几乎无解的难题,我院迅速启动 MDT(多学科诊疗)机制。胸外科携手血管外科、影像科、麻醉科、重症监护团队,组成强大的“生命救援智囊团”,展开全方位术前规划。

    借助先进的 3D 血管建模技术,专家们通过 CT 三维重建,如同给患者的血管与肿瘤做了一场“数字解剖”,精准还原二者关系,反复模拟最佳手术路径;同时,制定严密的血管保护预案,确定“优先游离异位动脉 - 肿瘤整块切除”的核心策略,为这场高难度手术筑牢安全防线。


    5小时生死博弈,毫米间的极致守护。

    手术采用经颈 - 右胸 - 腹腔镜联合入路,堪称一场惊心动魄的“生命保卫战”。术中,专家们发现肿瘤已侵犯食管全层,与异位动脉外膜紧密粘连,情况比预想的更为复杂。

    胸外科团队化身“血管迷宫里的导航者”,运用“钝性剥离 + 超声刀精细操作”技术,在毫米级的空间内谨慎分离。每一次操作都如同在刀尖上跳舞,既要彻底切除肿瘤,又要完好保留迷走性锁骨下动脉及喉返神经功能。

    经过5个小时的不懈努力,团队成功完整切除食管肿瘤并清扫淋巴结。术后病理证实切缘阴性,达到 R0 根治,这场生命的“拆弹行动”宣告圆满成功!


    ERAS 加速康复,重燃生命希望

    依托 ERAS(加速康复外科)体系,我院为患者制定了个性化康复方案。术后 24 小时,高先生便在医护人员的指导下尝试下床活动;整个康复过程中,未出现吻合口瘘、声音嘶哑等并发症。术后 10 天,他顺利出院,如今吞咽功能完全恢复,生活质量显著提升,重获新生!

    每一台高难度手术的成功,都是医者匠心的生动诠释,更是“生命至上”理念的有力践行。六安市中医院胸外科始终专注复杂食管癌个体化治疗,以创新驱动技术发展,用多学科协作凝聚生命力量,为每一位疑难重症患者点亮希望之光!

    健康提醒:吞咽梗阻、胸骨后疼痛可能是食管癌的危险信号!早发现、早诊断、早治疗至关重要,建议出现相关症状及时进行胃镜筛查。(供稿:胸外科)


    专家门诊时间:


  • 六安市中医院公众号
  • 六安市中医院视频号