随着秋冬季节交替,早晚温差变大,各种呼吸道病原体繁殖活跃,人体免疫力也在下降,呼吸道感染的患者数量也在增加,对于重症感染患者,若能在短时间内快速识别病情严重程度,患者的临床症状及愈后将得到极大改善。
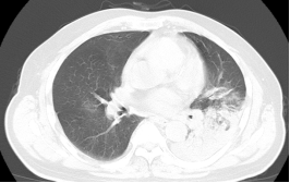
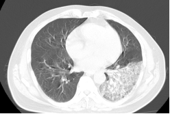
患者李先生,今年58岁,平时收购废弃钢材和塑料,10月27日因发热伴咳嗽、呼吸困难入住我院呼吸与危重症一科,入院时神志欠清,测体温39.4℃,血压87/56mmHg,末梢血糖26mmol/L。入院后,立即予完善相关检查,血气分析提示I型呼吸衰竭,胸部CT检查提示左肺大叶性肺炎伴实变,提示重症肺炎、感染性休克,种种迹象表明,患者病情危重,若不及时采取处理,随时可危及生命。
在科室主任王士汉医师的指导下,立即在抗感染、补液扩容升压、控制血糖的基础上,进行支气管镜灌洗液mNGS检查,进一步明确病原体为嗜肺军团菌。在予以敏感抗菌药物治疗后,患者体温、血压、氧合逐步恢复正常,炎性指标下降至正常,临床症状明显好转,并于11月8日顺利出院。


【科普时间】
在日常生活中,“军团菌”这个词可能大多数人听起来比较陌生,但它却是隐藏在我们身边的隐形危险,下面让我们来了解一下吧。
什么是军团菌?

军团菌是一种广泛存在于自然界中的呼吸道致病源,在一定条件下引起以呼吸道感染为主的疾病,称之为军团菌病。1976年在美国费城召开退伍军人大会上由此菌引起首次疫情而得名,每年的6-10月,是军团菌感染的高峰期。
军团菌的传播(感染)途径?

军团菌属于水生细菌,主要来源于大自然中的土壤、供水系统和空调冷却塔系统,人民在使用被军团菌污染的水源时,水龙头出水的瞬间,可形成气溶胶(像雾状的微型颗粒),吸入这些气溶胶后,就可能因此而感染。
感染军团菌后身体有哪些症状?
一般军团菌入侵人体2-14天后发病,临床症状包括发热、干咳、呼吸困难等非特异性呼吸症状,以及头痛、肌肉疼痛、腹泻在内的多种症状,重症患者有意识障碍或嗜睡、休克及白肺表现,死亡率达15%-30%。
哪些人群易感染军团菌?
各类人群普遍易感,其中慢性肺部疾病、糖尿病、肿瘤、长期接受血液净化等免疫功能低下患者更易患军团菌感染。
如何预防军团菌感染?
定期对空调系统、浴室里的淋浴器等设备进行清洗、消毒、保持空调、淋浴器的卫生清洁,经常对空调房、浴室开窗通风。
淋浴后尽量排空淋浴喷头中的水,长时间未用淋浴器时在使用前要提前放水,如果去一些酒店或者废弃很久的场所居住,在首次开启水龙头的时候,可以戴上口罩,避免脸部口鼻近距离接近水龙头,使用水的时候,可以放水一到两分钟后再使用。
土壤里面有军团菌,翻土或者堆肥的时候,要注意在劳动之后勤洗手,洗手之前应避免用手触摸脸部。
锻炼身体,合理饮食,增强自身的免疫力。
专家提醒:如果有发热咳嗽、呼吸困难等呼吸道感染表现,请及时就医。
咨询电话:0564-3312774
地址:六安市中医院1号楼18楼西