• 三级甲等中医医院
  • 国家中医住院医师规范化培训基地
  • 国家首批肿瘤多学科诊疗试点医院
  • 国家高级卒中中心
  • 国家胸痛中心
  • 回到旧版
  • 无障碍浏览
  • 长者版

    心血管内一科6小时连救3位急性心梗患者

    时间:2024-11-08   浏览次数:1594

    近日,市中医院心血管内一科6小时连续接诊了3位急性心肌梗死的患者。值班医生接到信息后,立即开启“双绕”模式,启动导管室,心内一科团队迅速到位,连续给3位心梗患者完成了急诊急救,目前3位患者闭塞血管均被开通,生命体征恢复正常,正在接受进一步的康复治疗。

    “双绕”,指的是急性胸痛患者能够避开急诊以及心内科的重症监护室,由救护车径直将患者送至导管室开展介入手术,以此为患者的抢救赢取珍贵的时间。对于患者而言,开通血管的时间越早,抢救成功的几率也就越大。

    案例一

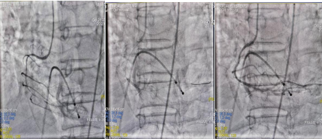
    10月28日17:37分,65岁的刘先生,因腹泻数天伴胸闷胸痛前往当地医院,心电图提示下壁ST段抬高,考虑急性心肌梗死,由120护送至我院,病程中患者心率最慢只有34次/分,立刻启动导管室,绕行急诊科、CCU,直达导管室,为患者进行临时起搏器植入+急诊CAG+冠脉内溶栓+PTCA术,术后患者生命体征平稳,转危为安。

    图1术前造影结果图2 球囊扩张图3治疗后造影

    案例二

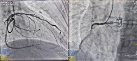
    患者徐先生1年前开始无明显诱因下出现胸闷痛不适,活动后加重,于当地村卫生室服用药物治疗后仍有活动后疼痛不适,休息后可缓解,未予重视。10月28日下午16:30患者干农活时突发胸痛不适,上至咽喉部,行心电图示:窦性心动过缓,ST段抬高,考虑“急性下壁ST 段抬高型心肌梗死”,立即予完善术前准备,经过急诊CAG+血栓抽吸+冠脉内溶栓+PPCI术成功把患者从死亡线上拉了回来。

    图1 术前前降支造影图2 术前右冠造影


    图3 治疗后前降支造影图4 治疗后右冠造影

    案例三

    患者刘先生于10月28日20:40饮酒后出现胸痛不适,伴周身汗出,就诊于当地医院,行心电图提示前壁导联ST段抬高,病情危重,当地医院立即与我院院前急救中心联系,并将患者病情及心电图发到我院胸痛中心群,心血管内一科陈传俊医生依据信息提示,考虑患者为急性前壁ST段抬高型心梗,立即指导医生给予急救处置,开启“双绕”绿色通道,快速恢复患者三级血流,患者症状明显缓解,生命体征平稳,转入心血管内一科病房进行后续治疗。


    胸痛中心群


     图1 术前造影图2 术后造影

    这3位患者均通过“双绕”流程进行了急诊手术,面对着接连而来的“生死救援”,我院胸痛中心发挥急救优势,为患者救治开通绿色通道,施行“急诊冠状动脉造影术+冠脉介入治疗”,成功挽回3位患者的生命,真正将“时间就是心肌,时间就是生命”这一理念落到了实处,让每一位患者都能在最短的时间内得到最有效的救治。

    专家提醒:急性心肌梗死是一种病情凶险、死亡率高的疾病。一旦出现胸闷、胸痛等症状,应立即就医,切勿拖延时间。此外,保持良好的生活习惯和饮食习惯,定期进行体检和筛查,也是预防急性心肌梗死的重要措施。

    (供稿:心血管内一科)



    专家门诊时间:


  • 六安市中医院公众号
  • 六安市中医院视频号