• 三级甲等中医医院
  • 国家中医住院医师规范化培训基地
  • 国家首批肿瘤多学科诊疗试点医院
  • 国家高级卒中中心
  • 国家胸痛中心
  • 回到旧版
  • 无障碍浏览
  • 长者版

    中医特色技术联合Metaizeau技术微创治疗小儿桡骨颈骨折

    时间:2024-09-30   浏览次数:2536

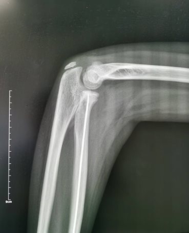
    患儿,女,11岁,5月14日因“外伤后右肘肿痛1小时余”入院,术前X线提示右侧桡骨颈骨折,O’Brien分型Ⅱ型,入院后我科陈义权主任立即和张浩医生采用中医特色骨折夹板固定骨折处,于5月17日予右桡骨颈骨折闭合复位弹性髓内钉内固定术,术中我科陈义权主任采用Metaizeau技术,在腕部做一长约1cm切口,利用弹性髓内钉闭合复位骨折端。术后3月复查,骨折端基本愈合。我科成功将中医特色治疗与小儿骨折微创治疗技术完美结合。

    d71c42210ffb5fc11da6f2b5f5b29885d276991b690f9e8bdff6cc46f9c3f8

    图1:术前夹板固定后的X线片

    IMG_256

    图2:术中小切口

    4a4f9096495c937d08ae9f0224362e8

    a3385f1ce1170d3ad4ca03ac6492de2

    图3、4:术中透视下X线

    f992e4c07071ef22f17a2b7ba371119

    IMG_256

    图5、6:术后2月、3月骨折X线片,示骨折愈合良好

    儿童桡骨近端骨折临床上并不少见,如处理不当会导致前臂旋转功能障碍。当骨折累及骺板及其近端称为桡骨头骨折,而骨折线位于骺板以远则为桡骨颈骨折。在骨骺尚未成熟时,90%桡骨近端骨折累及干骺端或骺板,因此真正意义的单纯桡骨头骨折很罕见。桡骨近端骨折约占儿童骨折1%稍多,发病年龄4-14岁,平均9-10岁,男女发病率基本相同。这类损伤大部分为上肢伸展肘关节伸直位时摔倒所致,受伤时前臂外翻,挤压肱桡关节,应力传至相对薄弱的骺板或桡骨颈干骺端而发生骨折。此外,这种外翻应力还可导致肘关节其它损伤,如尺骨干骺端骨折、肱骨内上髁撕脱骨折以及内侧副韧带断裂。根据骨折移位成角程度,O’Brien将这类损伤分为三型。IMG_256
    图7:桡骨颈骨折O’Brien分型

    一般对于小年龄患儿、成角小于30°的一般不致畸形和运动丧失。而对于成角大于30°的则需进行手法复位。是否需要切开复位,取决于手术治疗后能否产生比闭合整复更好的疗效。临床上对成角不超过45°,无侧方移位,临床检查旋前和旋后有50-60°活动范围的可以不进行手术切开复位。手术切开复位仅适用于完全移位的骨折及经各种方法复位失败的骨折。Metaizeau技术是由Metaizeau提出从桡骨远侧干骺端髓内穿针整复桡骨颈骨折,此法复位的同时可以起固定作用,且并发症较少。在上述病例中,我科采用Metaizeau技术,通过微创的方法闭合复位骨折端,获得了满意的治疗效果。

    IMG_256

    图8:弹性髓内钉复位Metaizeau技术

    (供稿:骨伤二科)

    专家门诊时间:


  • 六安市中医院公众号
  • 六安市中医院视频号