• 三级甲等中医医院
  • 国家中医住院医师规范化培训基地
  • 国家首批肿瘤多学科诊疗试点医院
  • 国家高级卒中中心
  • 国家胸痛中心
  • 回到旧版
  • 无障碍浏览
  • 长者版

    揭开乳腺癌的面纱:早期识别与预防指南

    时间:2024-09-11   浏览次数:1947

      乳腺癌到底是什么?其实,它是女性最常见的癌症之一。知道它的病理基础有助于提高早期发现和治疗的效果。深入了解乳腺癌的特征,我们可以更好地认识这个病以及如何预防它。

      一些乳腺癌的基本知识:

      乳腺癌从乳腺组织的细胞开始,这些细胞的异常增生会形成肿块。了解不同类型的乳腺癌(比如浸润性导管癌和浸润性小叶癌)及其分级、分期是制定个性化治疗方案的关键。

    3

      早期症状和自检方法: 

      乳腺癌早期可能没有明显症状,但定期自检很重要。自检时,可以摸摸乳腺区域,注意有没有肿块、硬块、皮肤凹陷或分泌物等变化。

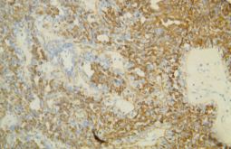
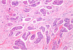
      病理检查在确诊乳腺癌中扮演了重要角色。通过乳腺组织活检,医生可以确认癌症的类型和阶段,这些信息对治疗方案和预后判断至关重要。

    12

           图为乳腺癌组织活检病理切片

      筛查和早期检测:

      定期做乳腺X线摄影(乳腺钼靶)是早期发现乳腺癌的好方法。公共卫生部门建议定期筛查,特别是有家族史或其他风险因素的女性,以提高早期诊断的几率。

    4

          图为乳腺钼靶检测

    了解乳腺癌的基本知识和早期识别方法,可以大大提高早期发现和治愈的可能性。大家要关注自身健康,定期自检和筛查,及早发现问题并寻求医疗帮助,从而更好地应对乳腺癌。(供稿:病理科)

    专家门诊时间:


  • 六安市中医院公众号
  • 六安市中医院视频号